Цифрова зуботехнічна лабораторія Gallant
Ми виготовляємо широкий спектр конструкцій: всі види незнімного протезування в тому числі складних
робіт на імплантах
Наша зуботехнічна лабораторія повного виробничого циклу понад 14 років працює на ринку та спеціалізується на виготовленні протезів для українських та іноземних стоматологій
Детальніше про насНаші продукти та послуги
Наша лабораторія пропонує всі види зуботехнічних послуг. Виконуємо роботи будь якої складності на європейському обладнанні світових виробників. Власний фрезерний CAD/CAM центр Arum 5 X 450 та Roland DWX 52 D Plus дозволяє виготовити роботи на імплантах з високою точністю на всі відомі імплантологічні системи з пасивною посадкою, а майстерність техніків надасть високий рівень естетики. Обов'язковий чіткий контроль кожної роботи під мікроскопом майстером-техніком.
Виготовлення коронок циркон з нанесенням керамічної маси та індивідуалізація рідкою керамікою MiYo1
Виготовлення коронок циркон на імпланти індивідуалізація рідкою керамікою MiYo
Виготовлення тотальної роботи титанова балка + циркон
Виготовлення вінірів (техніка фрезерування з блочків) + Нанесення керамічної маси та індивідуалізація рідкою керамікою MiYo
Виготовлення тимчасових коронок фрезеровані PMMA або 3D друк
Для замовлення ортопедичної конструкції потрібно:
Додатково для замовлення проекту потрібні фотографії пацієнта інтраоральні та портретні до препарування та за бажанням після, в замовленні треба вказати колір майбутньої реставрації та матеріал (циркон, прес кераміка, польовий шпат).
Скан зубів
Скан зубів (проект) інтраоральним сканером з всіх видів відомих сканерів таких як 3Shape, Medit, Sirona. Відправлення з файлу приймаємо на електронну пошту лабораторії: lab.gallant@gmail.com
Аналоговий метод
- Одноетапний відбиток з А-силікону з деталізацією зауступного простору
- Реєстрація прикусу типу Futar D для чіткого позиціонування моделей в артикуляторі.
- Антагоністи відбиток: база + коригуюча
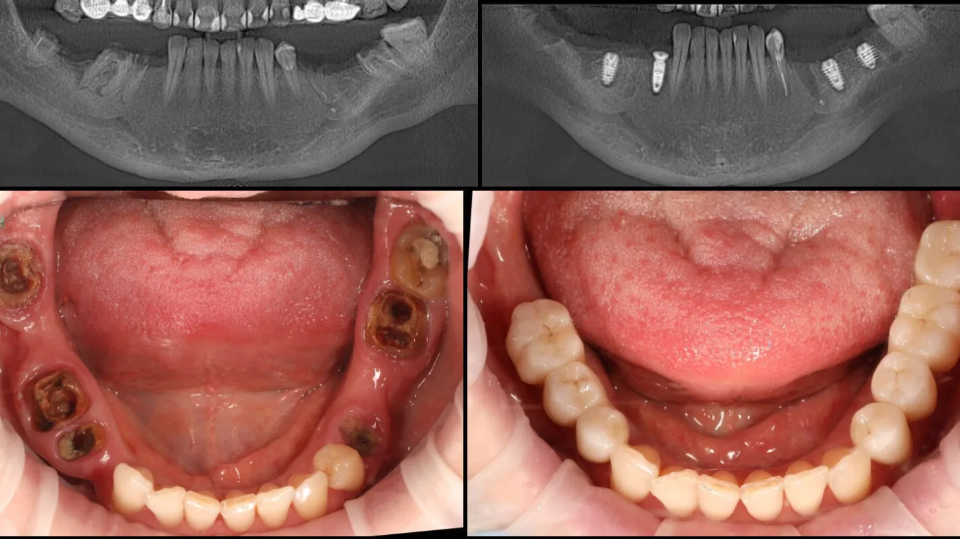
Роботи All-on-4 та All-on-6 (повна адентія)
В аналоговому виконанні, відбитки виконуються з індивідуальною ложкою з трансферчеками. Висота та співвідношення щелеп фіксується жорсткими валиками (гвинтова фіксація). За бажанням лікаря можна виготовити прототип для примірки та врахування індивідуальних параметрів для постійної роботи
Термін виконання та ціни
Строки виготовлення та ціни можуть варіюватися залежно від технічних вимог, типу конструкції та обсягу роботи.
Стандартні роботи
від 7 до 10 робочих днів
Складні роботи на імплантах
від 10 до 15 робочих днів
Після отримання всіх необхідних даних ми оперативно розраховуємо точну вартість і терміни виготовлення.
Чому cаме ми
Гарантія
Надаємо повну гарантію на всі види ортопедичних конструкцій щоб ви були впевнені у їхній якості та довговічності

Конструкції будь-якої складності
Від простих коронок до складних ортопедичних конструкцій на імплантатах, включаючи повне протезування All-on-4 та All-on-6
Надійна якість
Ми гарантуємо точне виконання всіх ваших вимог, щоб готова конструкція повністю відповідала очікуванням
Чіткі дедлайни
Ми суворо дотримуємось чітких дедлайнів та своєчасно погоджуємо роботу на кожному етапі виробництва, щоб ви отримали замовлення точно в строк

Кваліфіковані майстри
Наші майстри мають українську кваліфікацію та великий досвід роботи в цифровому протоколі
Як відбувається замовлення
Після того як ваша заявка потрапить до спеціаліста лабораторії, він зв’яжеться з вами для уточнення деталей: які саме вироби потрібні, з яких матеріалів, у який термін. Ви отримаєте точний розрахунок вартості, дедлайн виготовлення та перелік того, що потрібно для запуску в роботу: моделі, скани або STL-файли. Все чітко, без зайвих очікувань.
Упродовж усього процесу виготовлення ортопедичної конструкції ми забезпечуємо чіткий контроль якості та постійний зворотний зв’язок
Доставка
Польща
від 3 робочих днів
Німеччина, Великобританія, Іспанія, Угорщина, Румунія, Італія, Франція, Чехія, Латвія, Литва, Молдова
від 5 робочих днів
Доставку здійснюємо зручним для вас сервісом
В нашій лабораторії створення зубного протезу — це поєднання високих технологій і тонкої ручної роботи. Все починається з отримання цифрових чи аналогових відбитків, які перетворюються на точну 3D-модель. Далі наші техніки віртуально моделюють конструкцію ретельно добираючи форму, колір і мікродеталі для максимальної точності та естетики.
Потім проєкт втілюється у матеріалі за допомогою високоточного обладнання. Кожен протез проходить етапи індивідуального доопрацювання: нанесення кераміки, відтінків і текстури, які повторюють природну емаль. Завершальний етап включає делікатне полірування та перевірку під мікроскопом, щоб готовий виріб повністю відповідав технічним вимогам і стандартам якості.